専門施設での執刀医であり、年間300件以上の実績のある獣医師が一般的な骨折から、脳外科まで対応します。
骨折全般、前十字靭帯断裂、膝蓋骨脱臼、LCPD病(レッグ・カルベ・ペルテス病)、股関節脱臼、仙腸関節脱臼、多発性骨折、肩関節不安定症、肩関節脱臼、骨軟骨症、肘関節形成不全、肘関節脱臼、股関節形成不全、関節炎(骨関節炎、免疫介在性関節炎、化膿性関節炎)、骨幹端成長板早期閉鎖、癒合不全、変形癒合など
整形外科では、大きく分けて骨折治療と関節外科に分かれます。 骨折は小型犬種~大型犬種まで対応しており、個々の患者様に合わせた骨折部位の固定法を選択しています。 関節外科に関しては、整形外科学的検査、レントゲン検査、超音波検査、血液検査を用いて評価しています。 術後は疾患に合わせたリハビリテーションを入院中に行った後に、ご自宅でも積極的に行っていただき、飼主様と共に運動機能を取り戻していきます。
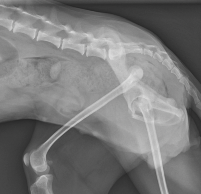
小型犬は高所からの落下などにより前足の骨“橈尺骨”を骨折してしまう事例が多いです。全ての子が手術適応では無く、包帯のみで治療する場合もあります。手術が必要と判断した場合、本院ではチタンプレートやステンレスプレートを体重により使い分け、より正確な治療を行います。海外からプレートを発注し種類も豊富のため、全ての犬種、猫種に対応可能となっております。
膝蓋骨(後ろ足の膝のお皿の骨)が内側、もしくは外側に外れてしまう病気です。小型犬に多く、びっこなどの症状を引き起こし、最終的には関節炎が重症化します。しかし、実際に手術が必要になる子の方が少ないと本院は考えております。手術をしない場合、その子に合わせた管理が必要となります。症状が強い子や、関節の摩耗が酷い子は手術適応になりますが本院では年間300件の整形外科の執刀を行なっている獣医師による手術なので、最低限の侵襲で的確な治療を行います。膝蓋の手術で悩まれている方は一度ご相談ください。
前十字靭帯とは膝の中関節内に存在する重要な靭帯です。この靭帯の断裂は肥満による関節への負担や、加齢による靭帯の変性が主な原因となります。損傷を起こすと、跛行や、関節の腫れなどが主な症状として現れます。痛み止めで経過を見て(一般的には2週間ほど)改善しない場合は手術が適応となります。 本院ではTPLO(Tibial Plateau Leveling Osteotomy)、CBLO(CORA Based Leveling Osteotomy)、CCWO(Cranial Closing Wedge Osteotomy)など骨切を行う,最先端の方法での手術が可能です
無菌性大腿骨頭壊死症病(LCPD)は若齢期の小型犬の股関節の骨、“大腿骨頭”が壊死してしまう疾患です。
足を伸ばすと激痛が走る疾患で、一度壊死をしてしまった大腿骨頭は再生しないため、基本的には壊死している骨頭を外科的に切除する大腿骨頭骨頚部骨切り術(FHNO)が適応となります。
この疾患は4~12ヵ月齢の成長期に発症します。
股関節脱臼は、高いところからの飛び降りやフローリングで滑って転んだりすることで認められるケースが多いです。特に、体重が重い子は脱臼するリスクが高いとされています。
また、交通事故や高所からの転落など、骨や関節に強い衝撃を受けることで脱臼するケースもあります。
そのほかにも遺伝的、ホルモンの分泌障害や栄養障害が原因となる場合もあります。
脱臼してしまった場合は早めの診察が必要となります。
股関節形成不全は、犬によく見られる遺伝性の整形外科的な疾患で大型犬、超大型犬(ゴールデン・レトリーバー、ラブラドール・レトリーバー、ロットワイラー、ジャーマン・シェパード、セント・バーナード)で特に問題になります。
お尻を揺らす歩き方が特徴です。若齢では亜脱臼や完全脱臼のため、痛みの症状を認めます。成熟後、骨関節炎に至って再度痛みを認める病気です。
若齢の際に診断することが重要な疾患になります。
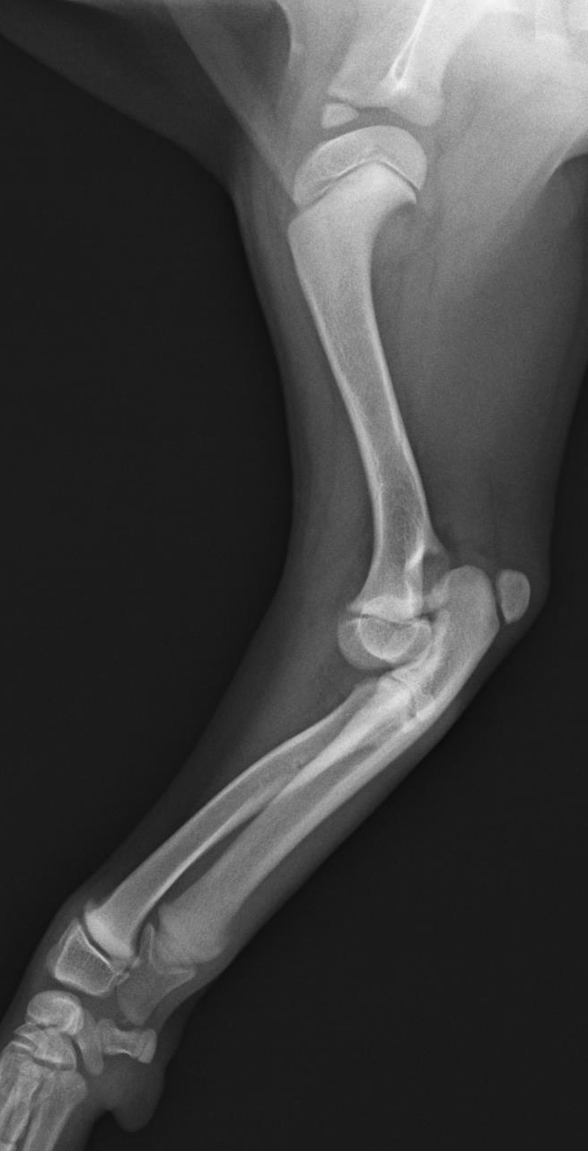
肘関節形成不全は中型から大型の犬種によく見られる疾患です。
一般的には、両肘に形成不全を示しますが、片方のみの形成不全が認められることも珍しくはありません。
肘関節はとても繊細な関節であり、肘関節形成不全を認めている子に関しては肘の中に2次的な病気を併発している可能性があります。
頭を上げ下げする歩き方が特徴的です。
股関節形成不全と同様、早期の診断が必要となる病気です。
落下や交通事故などにより引き起こされる外傷性と、生まれつき脱臼があり、成長期には症状が現れる先天性があります。
症状は、肘関節形成不全と同様、頭を上げ下げする歩き方や、前足を地面につけない、足が変な方向に曲がってるなどがあります。
外傷性は受傷後速やかに外科的な治療が必要になりますが、先天性は治療が必要にならない場合もあります。いずれも正確な診断が必要になります。
肩関節脱臼は、重度の外傷などで起こるケースがほとんどです。ただ、トイプードルなどは稀に先天的に肩関節形成不全があり、脱臼を発症しやすい子達がいます。この子達は症状が軽度〜重度で様々です。
この脱臼は非観血的に整復したとしても再脱臼を起こしやすく、その場合は外科的な治療が必要になります。
椎間板ヘルニア(頚部、胸腰部)、環軸不安定症、線維軟骨塞栓症、脳炎、脳腫瘍、脊髄腫瘍など
神経疾患は犬猫において症状が様々であり、年齢、犬種猫種によっても診断が変わってきます。また整形疾患と類似した症状を呈するため、鑑別が非常に重要になってきます。
検査は歩行検査、神経学的検査、血液検査、レントゲン検査、超音波検査、画像検査、脳脊髄液検査等を用いて診断をしていきます。
それぞれ疾患に合わせた治療法をご提案し、外科治療後だけでなく、内科治療にも積極的にリハビリテーションを取り入れ、運動機能改善に取り組んでいきます。
また、ワンちゃんの体格に合わせて装具なども作成し、出来るだけ日常生活に支障が出ないように治療をしていくことが可能です。
椎間板ヘルニアは、ミニチュア・ダックスフンドやフレンチ・ブルドッグ、ウェルシュ・コーギー、ビーグル、シー・ズー、コッカー・スパニエル、パグ、ペキニーズなどは軟骨異栄養犬種と呼ばれ、椎間板ヘルニアを引き起こしやすいと言われております。
症状は、急性の痛みから少しずつ後ろ足の力が入りづらいなど様々であり、グレード分類により、予後も変わってきます。
治療は保存療法または、外科的に圧迫する椎間板物質を取り除く方法です。少しでも変化があればすぐに来院することをお勧めします。