当院では、日本獣医循環器学会認定医をはじめとする循環器に専門知識を有する獣医が、エビデンスや経験に基づき、犬猫の心臓病の診断や治療、家での生活の注意点や栄養学的なアドバイスなどを行なっております。
心臓は体に血液を循環させるポンプの働きをしており、人同様に犬猫においても非常に重要な臓器の一つです。犬猫における心臓病は日々の生活や命を脅かすものであり、死亡原因は犬では2番目、猫では4番目と報告されています。しかし心臓病は初期の段階では症状が出ないことも多く、症状が認められた時には既に病態が進行していた、呼吸が苦しく緊急的な状態になって初めて心臓病を有していたことを知る飼い主様もいます。ご家族の犬猫のためにも早期発見・早期治療が重要です。
当院では聴診を含めた身体検査だけでなく、積極的に心エコー検査、胸部レントゲン検査、心電図検査、血圧測定などを行なっております。聴診も重要な検査ではありますが、心臓病だけでも上記のように多くの疾患があるため、聴診のみでは病気の診断や投薬を含めた治療方針を検討するには情報が足りません。また心臓病は他臓器との関連性が高いため、血液検査や腹部エコー検査を行うこともあります。適切な診断・治療には臨床的な検査が不可欠です。
犬は5歳を過ぎると弁膜疾患の罹患率が増加し、猫は10歳を過ぎると心筋症の罹患率が増加します。
犬→キャバリア、チワワ、マルチーズ、トイプードルなど。
猫→メインクーン、ノルウェージャン、アメリカンショートヘアー、マンチカンなど。
猫は若齢での心筋症の発症もあり、心雑音がないことも多いため注意が必要です。
犬の心臓病の症状で多いのは咳や運動不耐性です。呼吸疾患との鑑別も必要になります。
右心不全により腹水が貯留している可能性があります。
重度弁膜症や不整脈により失神を起こしている可能性があります。
無害性雑音も存在します。まずは画像検査にて適切な診断を行いましょう。
全身麻酔の可否、麻酔リスクや麻酔をかける際の注意点などをお話しします。
①簡易的な心臓の評価(身体検査、心エコー検査、胸部レントゲン)・・・約2万円
②しっかりとした心臓の評価(①+心電図、血圧測定)・・・約3万円
③心臓病も含めた全身検査(②+血液検査、腹部エコー検査)・・・約5万円
その子その子、症例ごとに必要な検査が変わります。検査内容においては費用面も兼ねて飼い主様と相談し行なっております。詳細な金額はHPの料金設定をご覧ください。
12歳のチワワちゃん。自宅で咳が認められたため来院されました。
聴診にて左側心尖部にLevine Ⅳ/Ⅵの収縮期雑音が認められ、画像検査を実施しました。
臨床学的検査を実施し、僧帽弁閉鎖不全症 (ACVIM stage B2)と診断し、ピモベンダンの内服を開始しました。その後の検診にて、咳の改善、心負荷の改善が認められた。
僧帽弁閉鎖不全症は症状として咳、運動不耐性などがあげられる(症状が出ない子もいるので注意)。
咳が出る原因の一つとしては、僧帽弁閉鎖不全症が進行すると心拡大、特に左心房の拡大が生じる。本来は心臓と気管支は接していないのだが、左心房が拡大すると左主気管支を圧迫してしまい、それが原因で咳が生じると言われています。
心臓病が原因の咳では、主な治療は僧帽弁閉鎖不全症の治療であり、当院ではACVIM(アメリカ獣医内科学会)が定めたコンセンサスガイドラインに準じて行なっています。
僧帽弁閉鎖不全症は犬種としてキャバリアやチワワ、マルチーズ、トイプードルなどの小型犬の中高齢に多いです。僧帽弁装置の障害理由として「粘液腫様変性」があり、弁にムコ蛋白が付着することで、弁の機能が落ちていくと言われています。一般的には加齢性変化と捉えて大きな問題はないが、犬種での発生率や若齢での発症もあることを考慮すると、遺伝的なコラーゲン異常の関与や遺伝的素因などの関与も示唆されている。粘液腫様変性を予防する方法は現在明らかにされていないため、早期発見・早期治療が重要です。
食事に関しても様々な報告があり、僧帽弁閉鎖不全症を有する犬では、心臓でのエネルギー産生効率が低下し、酸化ストレスや炎症が増加すると示されています。そのためバランスのとれた総合栄養食に加え、エネルギー代謝のサポートや酸化ストレス、炎症への対処などが重要になっていきます。また重症度により必要な食事療法は変わりますので、獣医師にご相談ください。
心臓病は心臓だけの問題ではなく、全身疾患です。僧帽弁閉鎖不全症でも他臓器の疾患との関連性も報告され、歯周病や腎障害、膵炎や腸障害などが報告されています。人医療においても「多臓器円環」という考えが存在し、特定の臓器だけ注目するのではなく、体全体を診るのが重要と言われています。当院の循環器科においても心臓病だけでなく、心臓を含めた体全体を診るということを意識して診療を行なっています。
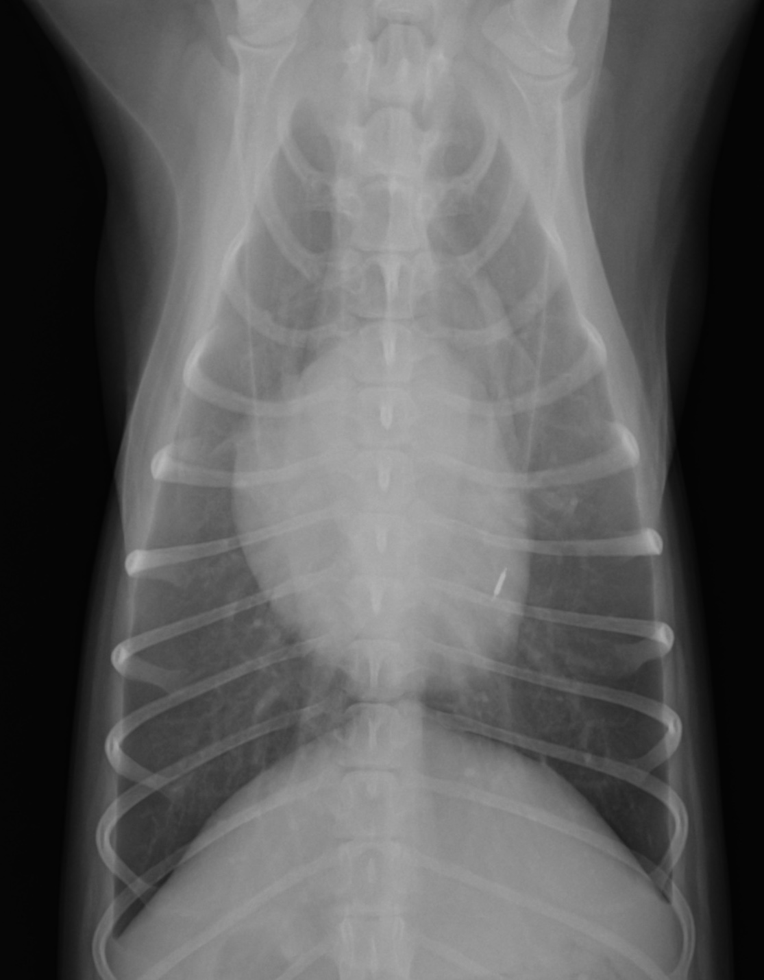
11歳のトイ・プードルちゃん。自宅で急に呼吸が荒くなったため来院されました。聴診にて左側心尖部にLevine Ⅳ/Ⅵの収縮期雑音が認められた。心原性肺水腫が疑われ、画像検査を実施しました。
臨床学的検査を実施し、僧帽弁閉鎖不全症 (ACVIM stage C)による心原性肺水腫と心室中隔欠損症と診断を行い、50%酸素室での入院治療を開始しました。ラシックス(利尿剤)、カルペリチド(血管拡張作用など)の持続静脈内投与、ピモベンダン(強心薬)の静脈注射を中心に行い、肺水腫の改善が認められ退院しました。その後は内服による心臓病のコントロールを行なっています。
心原性肺水腫は命に関わる救急疾患であり、犬の場合多くの原因は僧帽弁閉鎖不全症であります。主な症状は呼吸困難であり、重篤な場合は喀血や咳を伴うこともあります。心原性肺水腫の生存退院率は56~82%と報告されており、内科治療での改善が見込まれない場合は人工呼吸治療を行う場合もあります。
軽度or早期であるほど救命率は上がるので、日頃より定期的に心臓検診を行うや呼吸数を数えるなどが重要と考えます。
ただ僧帽弁閉鎖不全症の場合、腱索断裂などの理由により急性に悪化し肺水腫になってしまう可能性があります。「急に呼吸が苦しそう」や「急に咳がひどくなった」などが認められた場合は様子を見ずに、すぐ電話にてご連絡をください。
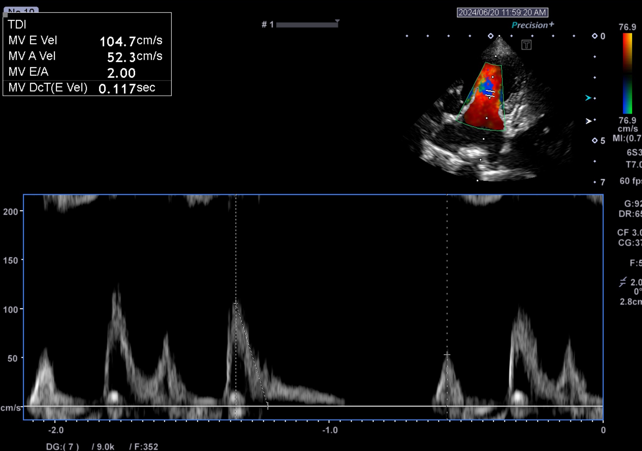
3歳のノルウェージャン・フォレスト・キャットちゃん。自宅で急に呼吸が荒くなり、後肢が動かなくなったため来院されました。開口呼吸、後肢の肉球の変色が認められ、画像検査を実施しました。
臨床学的検査を実施し、肥大型心筋症による心原性肺水腫と診断しました。また左心耳にはモヤモヤエコーが認められ、血栓ができやすい状態と判断し、後肢は動脈血栓塞栓症と判断しました。
50%酸素室での入院治療を開始し、動脈血栓塞栓症に対しては飼い主様と相談のもと、保存療法にて治療を開始しました。肺水腫の離脱、心負荷の軽減を目的にラシックス(利尿剤)、動脈血栓塞栓症による疼痛の緩和を目的にレペタン(鎮痛剤)、新たな血栓の形成予防を目的にダルテパリンNa(抗凝固剤)の投与を行ないました。
治療に反応が認められ、肺水腫の改善、後肢の運動機能の回復、肉球の血色の改善が認められ、退院しました。その後は利尿剤や抗血栓薬の内服による自宅療法を行なっています。
猫の心臓病の多くは心筋症と報告されています。心筋症の分類として「肥大型(非閉塞性or閉塞性)」、「拘束型」、「拡張型」、「不整脈原生右室」、「非特異的表現型」などがあり、基本の治療はACVIMが定めるコンセンサスガイドラインに基づいて行われます。
猫の心臓病が難しいと言われる理由として
・心雑音がない心臓病がある
・心臓が小さいため画像検査が難しい
・検査がストレスになる
などが言われています。
当院では難しいと言われている猫の心臓病においても熟練した技術を持つ獣医師により積極的に診断・治療を行っております。また当院はCFCゴールド取得病院であり、病院作りから検査に至るまでなるべく猫にストレスがかからないように気をつけています。
また猫は症状を呈した時は既に心不全(肺水腫・胸水貯留・血栓塞栓)になっていることが多く、心雑音も呈しないことが多々あるため、見た目は元気だけど実は心臓病が進行しているケースが多いです。心臓病は一般的な血液検査では判断できないため、血液検査のみの健康診断では安心できません。犬と違って若齢での心筋症の発症も少なくないため、健康診断の一環として、心臓検査をすることをお勧めします。